SEARCH
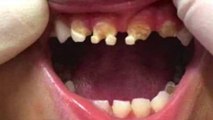
Les dents de cet enfants sont dans un état déplorable...la cause en est stupéfiante
Minuteviral
2016-04-25
Views
3
Description
Share / Embed
Download This Video
Report
Show more
Share This Video
facebook
google
twitter
linkedin
email
Video Link
Embed Video
<iframe width="600" height="350" src="https://vntv.net//embed/x46t2fb" frameborder="0" allowfullscreen></iframe>
Preview Player
Download
Report form
Reason
Your Email address
Submit
RELATED VIDEOS
00:44
Cet enfant a les dents complètement ravagées à cause d’une boisson que vous connaissez tous
01:05
Cet enfant s'est retrouvé avec les dents dans un état lamentable... la raison est étonnante
07:05
Apprendre les dents brossage content les dents salubre enfants dent brosse chanson bébé rimes vidéos
01:43
Cet ados aux dents difformes va voir sa vie changée par de nouvelles dents
01:43
Cet ados aux dents difformes va voir sa vie changée par de nouvelles dents
01:10
Cet adolescent a inventé une nouvelle méthode pour se brosser les dents. Elle va vous laisser perplexe
00:45
Cet alligator traverse un green de golf avec un poisson énorme entre les dents
00:42
Cet artiste américain réalise des œuvres d'art aussi magnifiques que colossales avec de simples cures dents
07:04
La bouche de cet homme qui ne s'est pas lavé les dents depuis 20 ans va vous faire halluciner
01:49
Découvrez le Baliste, cet étrange poisson aux dents humaines qui affole la toile
04:28
Cet homme dévoile un ingrédient magique qui va rendre vos dents blanches et ce naturellement!
01:05
Cet enfant se retrouve avec les dents ravagées par une substance bien connue