Esquizofrenia: Atrofia cerebral (RM)

RAUL ESPERT 2008-10-28

Views 37

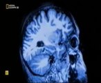
En el TAC se encuentra Atrofia cerebral en 10-35% de los casos de esquizofrenia, según las condiciones, ya que es difícil evaluar por las condiciones esperimentales. Está más claro el aumento de los ventrículos laterales y tercer ventrículo entre 10-50%. También Atrofia del vermis cerebeloso y disminución de la radiodensidad general del parénquima cerebral. Existe cierta correlación del TAC con la clínica: a mayor daño en TAC, más síntomas negativos, neuropsiquiátricos, extrapiramidales, historia premórbida de menor ajuste en su vida. También a más alteración del TAC, menor respuesta a medicamentos. La RNM corrobora el aumento de ventrículos laterales. También de ve la disminución de volumen del hipocampo, amígdala y circunvolución parahipocámpica, por lo tanto disminución del sistema límbico. El PET muestra disminución del metabolismo frontal y parietal (lo cual es aparte de la alteración de la actividad D2), por otro lado muestra un aumento en el metabolismo posterior, anormalidad en la lateralidad (los dos hemisferios serían diferentes), disminución del flujo sanguíneo frontal, aumento del flujo parietal y en general una disminución del flujo global. Es evidente la disfunción del lóbulo frontal, con gran probabilidad que sea secundaria al aumento del receptores D2 en ganglios basales.

Share This Video


Download

  
Report form